ダイレクトボンディングとは

ダイレクトボンディングとは、ハイブリッドセラミックを用いてその日に治療を完結させる治療法です。
また歯を最小限(虫歯部分のみ)削って詰め物ができるため、歯の負担を少なくする事ができます。
セラミックの粒子が配合されているため、保険治療で用いるレジンと比べて強度や審美性が高くなります。
また歯を最小限(虫歯部分のみ)削って詰め物ができるため、歯の負担を少なくする事ができます。
セラミックの粒子が配合されているため、保険治療で用いるレジンと比べて強度や審美性が高くなります。
こんな方におすすめ
一度の治療で複数本治療を完了することができるため、お忙しい方や何度も治療に通うことが困難な方におすすめの治療法となります。



ダイレクトボンディングのメリット・デメリット
部分的な補修も可能なため、欠けてしまったり、とれてしまった際にも一度の治療で完結させることができることも大きなメリットです。
白い見た目の綺麗な詰め物をセラミック等に比べ費用を抑えることができます。
デメリットは、セラミックやジルコニアに比べて強度が低く欠ける可能性が高くなる。また適応範囲が補綴治療と比べて狭くなる。といったことが挙げられます。
ダイレクトボンディング治療は一本の治療にかかる時間がどうしても長くなってしまいます。そのため複数本同時治療をご希望の場合は処置時間が長くなることをご理解下さい。
ダイレクトボンディングの症例
| 主訴 | 前歯の樹脂材料の色味が気になる |
|---|---|
| 所見 | 他院にて以前治療したところのコンポジットレジン辺縁に着色あり、探針にて段差をみとめた。 |
| 診断 | 上顎前歯部コンポジットレジン不適、C2” |
| 治療内容 | 浸潤麻酔を行い、古いコンポジットレジン材料を全て除去しう蝕を取り切り、再度コンポジットレジン充填を行った。 |
| 治療後経過 | 経過良好 |
| 治療期間 | 1回 |
| 治療費用 | 保険適応 |
| リスク・副作用 | 樹脂材料は吸水膨張による経年変化が起きるため、再度変色や不適になる可能性を伝えた。 |


| 主訴 | 左下の奥歯の銀歯が取れた。 |
|---|---|
| 所見 | 下顎左側第一大臼歯咬合面二次う蝕 |
| 診断 | 下顎左側第一大臼歯咬合面う蝕1度 |
| 治療内容 | コンポジットレジン修復 |
| 治療後経過 | 痛みなく、咬合状態も良好。 |
| 治療期間 | 1回 |
| 治療費用 | 保険診療一本で1500円程度。 |
| リスク・副作用 | 今後も材料の経年劣化によって摩耗による着色や破折する可能性があると伝えた。 |


ダイレクトボンディングとは

ダイレクトボンディングとは、ハイブリッドセラミックを用いてその日に治療を完結させる治療法です。
また歯を最小限(虫歯部分のみ)削って詰め物ができるため、歯の負担を少なくする事ができます。
セラミックの粒子が配合されているため、保険治療で用いるレジンと比べて強度や審美性が高くなります。
また歯を最小限(虫歯部分のみ)削って詰め物ができるため、歯の負担を少なくする事ができます。
セラミックの粒子が配合されているため、保険治療で用いるレジンと比べて強度や審美性が高くなります。
こんな方におすすめ
一度の治療で複数本治療を完了することができるため、お忙しい方や何度も治療に通うことが困難な方におすすめの治療法となります。



ダイレクトボンディングのメリット・デメリット
部分的な補修も可能なため、欠けてしまったり、とれてしまった際にも一度の治療で完結させることができることも大きなメリットです。
白い見た目の綺麗な詰め物をセラミック等に比べ費用を抑えることができます。
デメリットは、セラミックやジルコニアに比べて強度が低く欠ける可能性が高くなる。また適応範囲が補綴治療と比べて狭くなる。といったことが挙げられます。
ダイレクトボンディング治療は一本の治療にかかる時間がどうしても長くなってしまいます。そのため複数本同時治療をご希望の場合は処置時間が長くなることをご理解下さい。
ダイレクトボンディングの症例
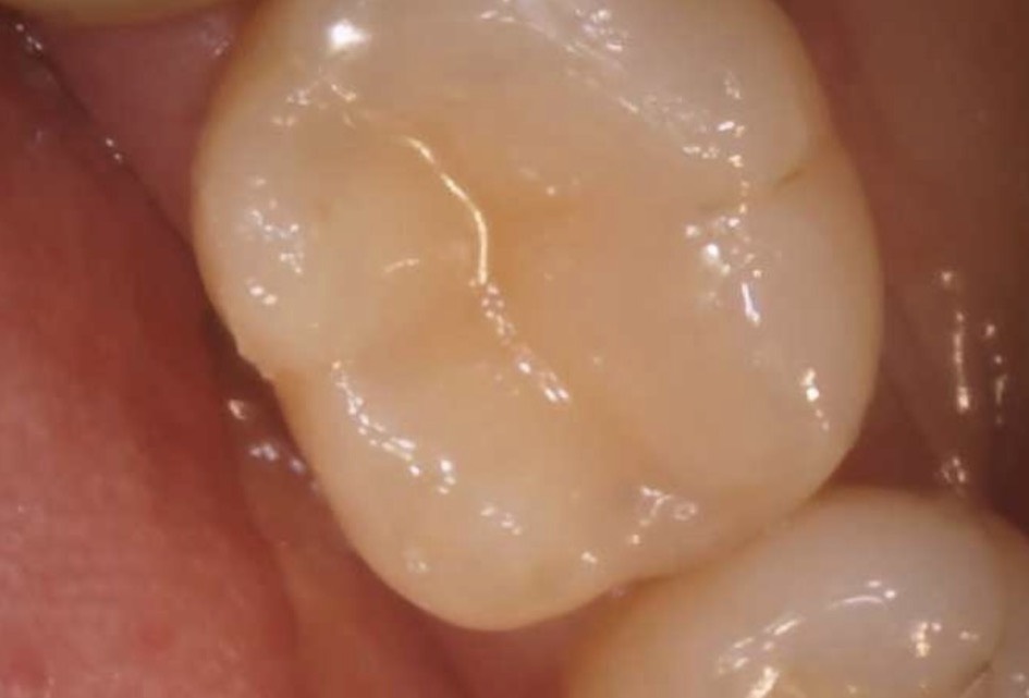
| 主訴 | 下の奥歯が黒くなっていて気になる |
|---|---|
| 所見 | 下顎右側第二大臼歯咬合面に充填物を認める。 |
| 診断 | 下顎右側第二大臼歯咬合面う蝕Ⅰ度 |
| 治療内容 | コンポジットレジン修復 |
| 治療後経過 | 痛みなく、咬合状態も良好。 |
| 治療期間 | 1回 |
| 治療費用 | 保険診療一本で1500円程度。 |
| リスク・副作用 | 今後も材料の経年劣化によって着色や不適合になる可能性があると伝えた。 |


よくある質問
- Q. ダイレクトボンディングのメリットは何ですか?
- A. 歯を削る量を最小限に抑え、即日(1回)で自然な白い歯に修復できる点です。すきっ歯の改善などに適しています。
- Q. 変色はしますか?
- A. 保険のプラスチックより変色しにくいですが、経年変化はあり得ます。定期的な研磨で美しさを維持できます。