歯周病とは

歯周病は初期の頃は自覚がないことが多く無自覚に進行することが多くあります。また個人差はありますが、進行スピードが極めて速いことが多いため最悪の場合歯を抜かなくてはならなくなることがある恐ろしい病なのです。
早期発見することが歯周病治療においても大切なため歯磨きの時に血が出る方や歯茎が腫れている方や痛みがある方、疲れている時に違和感が出る方などは早めにご連絡ご相談下さい。
当院の歯周病治療の特徴
進行程度にかかわらずまず歯周基本治療をさせていただきます。
歯周ポケットの深さを検査したり、歯石、歯垢の除去を行います。歯周病は歯の土台である骨の治療のため土台をしっかりさせてから他の治療をすることで全ての治療の予後を最良のものとします。
歯科医師または歯科衛生士によって歯周ポケットの検査、噛み合わせのチェック、歯ぎしり等の有無の確認を行います。
歯のクリーニングを行う際痛む場合があります。そこで当院では場合によっては麻酔をして入念にクリーニングを行います。痛みに弱い方や過去に痛い思いをした方などは遠慮せずご相談下さい。
1、歯周組織再生療法
歯周組織再生療法とは、歯周病によって吸収してしまった骨を再生させる治療です。歯周組織を再生させることで歯の寿命を大幅に伸ばすことができます。
エムドゲインを用いて歯周組織を再生していきます。歯周病が部分的に進行している箇所に用います。
治療部位に一時的な腫れや痛みが生じることがあります。これは術後の正常な反応とされていますが、痛みが長引く場合には適切な診察を受けることが推奨されます。また、手術後の傷口が感染するリスクもあり、これを防ぐためには抗生物質の適切な使用や口腔内の衛生管理が重要です。
2、フラップ手術
歯周基本治療を行った後に再度検査をします。そこで数値が改善していない箇所や歯肉の奥の方に歯石があり除去が困難な箇所に用いる処置です。
歯茎を剥離して、露出した歯根についた歯石や歯垢、不良肉芽等を外科的に除去し、歯茎を縫合していきます。
処置によって歯茎が下がったり、知覚過敏症状が出ることがあります。

歯周病の進行度別の症状・治療法
1、軽度歯周病(歯肉炎)
歯の表面に歯垢や歯石が付いている。
歯茎が赤くなっていたり、腫れている場合もある。また痛みや違和感を生じることもある。
歯を支える骨、歯根膜の軽度吸収が見られる。
症状
ブラッシングの際に血が出る。触ると痛みがある。
治療法
歯石、歯垢の除去を行います。ブラッシング指導や定期メンテナンスを行います。
2、中等度歯周病(歯周炎)
歯茎の中に歯石が付いている。歯茎に炎症があり痛みがある。腫れがある。歯周ポケットが4ミリ以上ある。歯周ポケットからの排膿が見られる場合がある。
症状
自発痛がある。歯茎が赤く腫れる。歯の動揺が見られる場合がある。
治療法
歯石、歯垢の除去を行います。
歯周ポケットの数値が改善されない場合や歯茎の中の歯石がある場合はフラップ手術を行うことがあります。歯周組織の状態によっては歯周組織再生療法を行う場合もある。
3、重度歯周病(歯周炎)
歯周病が非常に悪化している状態である。
症状
自発痛が強くある。歯茎が赤くただれたようになる。歯を支える骨が溶けてしまっているため歯がぐらぐらする。ものをうまく噛むことができなくなる。
治療法
歯石の除去を行い炎症を抑えていきます。
フラップ手術や歯周組織再生療法にて歯の保存が可能な場合もある。
保存が不可能の歯は抜歯をします。
歯周病の基本の治療の流れ
1、口腔内診査
問診をとり口腔内の写真を撮り必要に応じてレントゲン撮影を行います。その後歯周ポケット検査を行います。
患者様と口腔内の写真やレントゲン画像、歯周ポケット検査の結果を共有し今後の治療計画を立てていきます。
2、歯石、歯垢の除去
超音波スケーラーを用いて歯周組織に付着した歯石や歯垢を取り除きます。
3、ブラッシング指導
磨き残しが出やすい箇所をどのように磨くと良いかを中心にブラッシング指導をさせていただきます。また患者様ごとの適した歯ブラシのご提案をさせていただきます。電動歯ブラシやフロス等の正しい使用方法などもお気軽にご相談下さい。
4、歯周外科
必要に応じて外科処置が必要となる場合があります。十分にカウンセリングをさせていただきます。
5、定期メンテナンス
歯周病治療は一度改善しておしまいではありません。定期的なメンテナンスが必要となります。
患者様ごとに細かくデータを記録し過去のデータと比較して管理をさせていただきます。
気になることは遠慮せずご相談下さい。
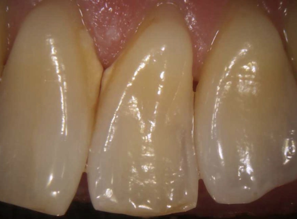
当院の歯周病の症例
| 主訴 | 下の前歯の着色を落としたい |
|---|---|
| 所見 | 下顎前歯部3−3歯石++、出血++、着色++ |
| 診断 | 辺縁性歯周炎(歯周病)中等度 |
| 治療内容 | 歯周基本治療①歯周病検査を元に、超音波スケーラー、手用スケーラーを用いてスケーリング(縁上歯石取り)②コントラ、ポリッシングブラシ、ポリッシングペーストを用いて歯面研磨(上記を用いて取り切れる着色を除去) |
| 治療後経過 | 歯面滑沢化、歯石が付着しにくくなっており、着色も除去されている。 |
| 治療期間 | 上記のみ1日で終了。この1−2週間後に歯周病再検査を行い、縁上に新しく付着した歯石、および縁下の硬くなってしまっている歯石については必要に応じて浸潤麻酔下で取る必要がある。 |
| 治療費用 | 保険診療のため変動ありだが2,000円前後。 |
| リスク・副作用 | 歯石除去後、1−2日は根元が歯石で塞がれていた部分が露出するため、一時的にしみることがある。 |


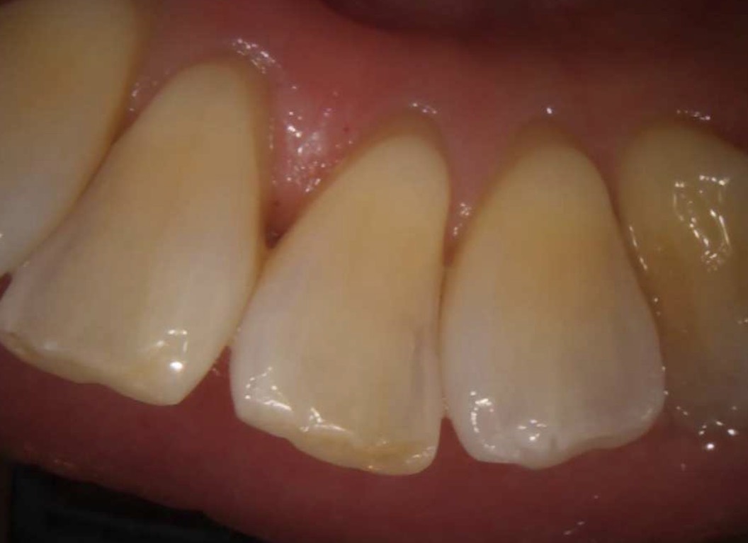
| 主訴 | 下の前歯の着色を落としたい |
|---|---|
| 所見 | 下顎前歯部3−3舌側 着色++ |
| 診断 | 辺縁性歯周炎(歯周病)中等度(保険病名) |
| 治療内容 | 歯周基本治療後、ポリッシングペーストでの機械的歯面清掃では取りきれない汚れ、着色をエアフローにて除去。 |
| 治療後経過 | 着色が除去されている。 |
| 治療期間 | 上記のみ1日で終了。 |
| 治療費用 | エアフロー全顎で¥6,000(自費治療) |
| リスク・副作用 | 特になし。 |


| 主訴 | 着色が気になる |
|---|---|
| 所見 | 上顎前歯部に着色あり。表面は硬く、ブラッシングでの除去は困難 |
| 診断 | 保険内でのクリーニングでは、着色除去困難。 |
| 治療内容 | エアフロー |
| 治療後経過 | エナメル質の着色はコーヒーなどの飲食からつきやすいため、着色の起こりやすいものを飲食した後はブラッシングや水うがいをするなど心がけてもらうよう患者教育を行い、経過観察中。 |
| 治療期間 | 一回〜二回 |
| 治療費用 | 上下で6000円。片顎3000円。 |
| リスク・副作用 | 特になし。 |


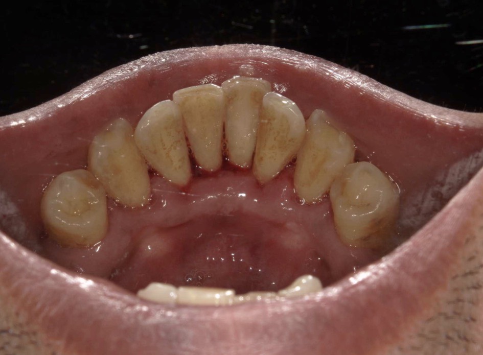
| 主訴 | 歯茎が腫れている |
|---|---|
| 所見 | レントゲン写真上で、左上第二大臼歯遠心歯周ポケット内に歯石あり。 |
| 診断 | 辺縁性歯周炎中等度。スケーリング・ルートプレーニング(歯石を除去し根面を滑沢化させる処置)の必要性あり。また、再発を防ぐため適切なブラッシング方法を指導する必要性がある。 |
| 治療内容 | スケーリング・ルートプレーニング、ブラッシング指導。 |
| 治療後経過 | 同部位の腫れや出血がおさまり、また患者教育によってプラークの蓄積を最小限に抑えている。 |
| 治療期間 | 深い部分の歯石がどのくらいあるかで変動するが、最大で6ブロックに分けて行う。 |
| 治療費用 | 1ブロック1500円程度。 |
| リスク・副作用 | 特になし。 |


| 主訴 | ブラッシングでは取れない着色が気になる |
|---|---|
| 所見 | 上下顎前歯部頬側に着色あり。粗造な歯石の沈着もあり。 |
| 診断 | 辺縁性歯周炎軽度、および機械的歯面清掃にて除去可能であると判断。 |
| 治療内容 | 歯周基本治療 |
| 治療後経過 | 着色が軽度のうちにブラッシングを行うことの必要性や、着色の起こりやすい飲食と予防について患者教育を行い、経過観察中。 |
| 治療期間 | 一回~二回 |
| 治療費用 | 初診の場合4000円程度。 |
| リスク・副作用 | 特になし。 |

| 主訴 | クリーニング希望 |
|---|---|
| 所見 | 下顎前歯部に歯石あり。全顎的にプラークの付着あり。 |
| 診断 | 辺縁性歯周炎軽度、スケーリングと機械的歯面清掃にて除去可能であると判断。 |
| 治療内容 | 歯周基本治療 |
| 治療後経過 | 生活習慣や活動量から、口腔内が乾燥しやすくプラークが停滞しやすいことから歯石の付着増加につながることを説明し、効率の良いブラッシング方法の説明と、着色の起こりやすい飲食と予防について患者教育を行い、経過観察中。 |
| 治療期間 | 一回~二回 |
| 治療費用 | 初診の場合4000円程度。 |
| リスク・副作用 | 特になし。 |


| 主訴 | 定期クリーニング希望 |
|---|---|
| 所見 | 下顎前歯部舌側面に歯石の沈着を認める。 |
| 診断 | 辺縁性歯周炎軽度 |
| 治療内容 | 歯周基本治療の流れに則ってスケーリング(歯石取り)を行なった。 |
| 治療後経過 | この患者さんの場合は三ヶ月で同程度の歯石沈着となるため、直後は病状回復するが今後も治療を必要とする。 |
| 治療費用 | 保険診療、歯周基本検査と処置を合わせて3000円程度 |
| リスク・副作用 | 特になし |


| 主訴 | 歯茎が腫れて痛い |
|---|---|
| 所見 | 下顎前歯部舌側に多量の歯石を認める |
| 診断 | 歯周病 |
| 治療内容 | スケーリング |
| 治療後経過 | 壁状になっていた歯石を除去することで、歯石に覆われていた歯牙と歯肉が現れた |
| 治療期間 | 一回 |
| 費用 | 保険診療で一回2300円程度 |
| リスク・副作用 | 歯石を除去した部分は数日間出血や滲みる症状を伴うことがあると説明 |


よくある質問
- Q. 歯周病は治りますか?
- A. 早期発見と適切な治療、毎日のケアで改善・安定させることができます。進行してしまった場合でも、再生療法などで歯を残せる可能性があります。
- Q. 治療は痛いですか?
- A. 基本的な歯石除去は痛みは少ないですが、知覚過敏がある場合はしみることがあります。痛みを感じる場合は麻酔を使用するなど配慮いたします。
関連する専門治療のご案内
歯周組織再生
失われた骨や歯周組織を再生させる治療です。エムドゲインなどを用いて歯の寿命を延ばすことを目的とします。
» 詳しくはこちら
歯周外科
歯茎を開いて歯石や感染組織を直接除去する外科的処置です。深い歯周ポケットや改善しない部位に行います。
» 詳しくはこちら
歯周補綴
歯周病で弱った歯を補綴物で安定させ、噛み合わせや清掃性を改善する治療です。
» 詳しくはこちら