審美歯科とは

最近では聞いたことがある方も増えてきている診療科目ではないでしょうか。名前の通り歯を審美的で美しく見えるようにする治療です。
ところが、実は審美的に美しくするだけが本来の審美歯科ではありません。
歯の本来持つべき機能性も最大限発揮することこそが本来の審美歯科なのです。
当院では、見た目の美しさだけでなく歯の機能面も最大限配慮をした治療でなければならないと考えております。
様々な審美歯科治療症例が多数ございますので、安心してご相談下さい。
患者様の各々のニーズに合わせた最適な治療方法をご提案し豊かな生活の手助けをさせて頂けたらと思います。
銀歯が気になるという人へ
セラミックについて
銀歯が気になって大きく笑えない、口臭が気になるなど悩みを抱えてらっしゃる方がいらっしゃるかと思います。昔は特に多様されてきた銀歯ですが、現在でも虫歯の詰め物に銀歯を使用することがあります。奥歯など負荷の大きくかかる歯を保険治療にて治療する場合などに用いられます。
銀歯の強度はかなりありますが金属のため、酸化していきます。
そのため酸化した金属と歯の境に隙間が生じていきそこからニ次う蝕になるケースがかなり多くみられます。そこで当院では審美性が高く強度があり化学的な接着性を有する上に汚れがつきにくいためニ次う蝕になりにくいセラミック治療を種類豊富にご用意しております。
セラミックにも数多くの種類があるため患者様ごと、さらにはどの部位の歯に施術するかによって細かくパーソナルな材料選択をさせていただいております。



当院で取り扱っているセラミックの種類と費用
| 項目 | 説明 | 副作用・リスク | 料金 |
|---|---|---|---|
| ハイブリッドインレー | セラミックとレジンを組み合わせたインレーで、強度と自然な見た目を兼ね備えています。歯の部分的な修復に使用され、色調が天然歯に近いです。 | 劣化や変色のリスクがあり、耐久性が金属より劣る可能性があります。また、過度な力で破損することもあります。 | 35,000円 |
| ハイブリッドクラウン | セラミックとレジンの混合素材で作られたクラウンで、自然な歯の色合いを再現しつつ、金属ほどの強度はありませんが、審美性を重視した修復方法です。 | 長期使用で摩耗や変色が起こることがあります。金属クラウンに比べて強度が低いため、破損のリスクも存在します。 | 60,000円 |
| ゴールドインレー | 高い耐久性を持つ金合金を使用したインレーで、摩耗に強く、長期間の使用が可能です。歯との適合性も高く、健康的な歯質を保護します。 | 審美性に欠けるため、目立つ場所での使用には不向きです。また、金属アレルギーを引き起こす可能性があります。 | 80,000円 |
| ゴールドクラウン | 金合金を用いたクラウンで、耐久性と適合性に優れています。金属の特性により、咬み合わせに適した修復が可能で、長期間安定した状態を維持します。 | 審美性が低く、前歯などの目立つ部分には向きません。金属アレルギーのリスクがあります。 | 170,000円 |
| 仮歯(TEC) | 治療期間中に一時的に使用するプラスチック製の仮歯です。外見や機能を一時的に補うために用いられ、本来の歯の機能をある程度維持します。 | 強度が低いため、破損や変色が起こりやすく、長期間の使用には適していません。また、歯肉に炎症を引き起こすことがあります。 | 3,000円 |
| ファイバーコア | グラスファイバーを用いたコア(歯の内部に埋め込む支柱)で、歯の根を補強し、クラウンなどの修復物を支える役割を担います。自然な色合いが特徴です。 | ファイバーコア自体は強度が高いものの、歯根が劣化している場合には破損のリスクがあります。歯の再治療が難しくなる場合があります。 | 15,000円 |
| Emaxインレー | 金属を一切使用しないセラミックの詰め物です。天然の歯に親和性が高く、色調の相性も非常に高いです。強度はジルコニアには劣るため欠けるリスクがあります。 | 強度がジルコニアよりも低く、欠ける可能性があります。 | 50,000円 |
| Emaxクラウン | 金属を一切使用しないセラミックの被せ物です。天然の歯に親和性が高く、色調の相性が良いです。強度はジルコニアに劣り、欠けるリスクがあります。 | 強度がジルコニアに劣るため、欠けやすい可能性があります。 | 100,000円 |
| Emaxセラミッククラウン | Emaxクラウンの陶材版で、歯の色のグラデーションを細かく表現し、天然歯に最も近い被せ物です。 | 強度がジルコニアよりも低いため、欠けるリスクがあります。 | 150,000円 |
| ジルコニアインレー | 金属を一切使用しないセラミックの詰め物で、強度が高く欠けにくいです。Emaxより色調の親和性は低いですが、割れにくい利点があります。 | Emaxより色調の親和性が低いものの、強度は高く、割れるリスクが少ないです。稀に装着後の破損や接着不良が生じることがあります。 | 60,000円 |
| ジルコニアクラウン | 金属を一切使用しないセラミックの被せ物で、強度が非常に高く欠けにくいです。Emaxより色調の親和性は低いですが、割れにくい利点があります。 | 強度は高いですが、Emaxより色調の親和性が低いです。稀に接着不良や割れが生じる場合があります。 | 100,000円 |
| ジルコニアセラミッククラウン | ジルコニアクラウンに、より天然の歯に近い色調のグラデーションを再現し、理想の色調を追求できる被せ物です。 | ジルコニアの高強度に加え、色調再現性が高いため審美性も非常に優れていますが、対合歯を傷つけるリスクがあります。 | 150,000円 |
当院の審美歯科(かぶせ物)の症例
| 主訴 | 全体的に虫歯がある。この際悪いところは全てしっかり治療して綺麗にしたい。 |
|---|---|
| 症状 | しみるところがある。虫歯がある。 |
| 治療内容 | 前歯を中心に過去に治療歴があり、レジンが充填されているが、2次う蝕が全体的に見られた。神経付近まで進行しているところもあったがMTAセメントを用いて歯髄保存を試みた。虫歯の治療期間は仮歯を装着した。 |
| 結果 | 神経を全て温存し、補綴物の形態も仮歯で調整を繰り返し理想的な形態にすることができた。大変満足頂けた。 |
| 費用 | セラミッククラウン一本10万+税 |
| 副作用 | 虫歯治療による刺激で神経治療が必要になる場合があります。 |


| 主訴 | 物がしっかり噛めるようにしたいのと前歯を綺麗にしたい。 |
|---|---|
| 診断結果 | 左上1番と右下2番は根尖病巣が大きく歯根も根尖で破折していた為、抜歯が必要のため前歯部一部ブリッジを併用した審美補綴治療が必要。 |
| 治療内容 | 失活歯は根管治療を行い、欠損部にはインプラント治療を行った。前歯部は審美補綴治療希望であったため、審美補綴治療を行った。 |
| 治療後経過 | 半年経過 良好 |
| 治療期間 | 8ヶ月 |
| 治療費用 | 2,100,000円 |
| リスク・副作用 | 外科処置を必要とする為、全身疾患によっては治療が困難な事がある。根管治療による痛みが生じる事がある。 |


| 主訴 | 物がうまく噛めなくて見た目も綺麗にしたい。 |
|---|---|
| 診断結果 | 臼歯部欠損による咬合崩壊が生じており、前歯部審美不良が生じている。 |
| 治療内容 | 臼歯部にはインプラント治療を施し、咬合挙上を行うために、プロビジョナルレストレーションを全額的に装着し、3度の再製作をし咬合挙上を行い咬合が確立された後全顎補綴治療を行った。 |
| 治療後経過 | 3年経過 良好 |
| 治療期間 | 2年 |
| 治療費用 | 6,500,000円 |
| リスク・副作用 | 咬合挙上量が多いため、顎関節に痛みが生じる可能性がある。 外科処置を要するため、全身疾患によっては治療が困難な場合がある。 |


| 主訴 | 前歯綺麗にしたい |
|---|---|
| 診断結果 | 補綴の経年劣化とマージン不良 |
| 治療内容 | 不良補綴物を除去し、再度補綴治療を行った |
| 治療後経過 | 8ヶ月 良好 |
| 治療期間 | 2週間 |
| 治療費用 | 100,000円 |
| リスク・副作用 | 補綴物が割れることがあります。 |


| 主訴 | 左上の前歯の色味が気になる |
|---|---|
| 診断結果 | 上顎左側側切歯C3、根管治療の必要性。 |
| 治療内容 | 通法通り虫歯を取り切り、根管治療を行った。棍充後、主訴であった審美性回復を意図とし、ジルコニアセラミックにて補綴。 |
| 治療後経過 | 根管充填後から現在において疼痛及びその他症状は無く、補綴は形態、色調共に審美的満足を得られた。 |
| 治療期間 | 治療開始より約1ヶ月半。 |
| 治療費用 | 根管治療については保険治療にて対応。補綴治療は自費治療、(ジルコニアセラミック¥150,000) |
| リスク・副作用 | 特になし。 |


| 主訴 | 下の前歯の着色を落としたい |
|---|---|
| 診断結果 | 辺縁性歯周炎(歯周病)中等度(保険病名) |
| 治療内容 | 歯周基本治療後、ポリッシングペーストでの機械的歯面清掃では取りきれない汚れ、着色をエアフローにて除去。 |
| 治療後経過 | 着色が除去されている。 |
| 治療期間 | 上記のみ1日で終了。 |
| 治療費用 | エアフロー全顎で¥6,000(自費治療) |
| リスク・副作用 | 特になし。 |


| 主訴 | 前歯を理想的な形態で自然に綺麗に直したい。 |
|---|---|
| 診断結果 | 前歯部をセラミッククラウンにて補綴治療する必要がある。 |
| 治療内容 | プロビジョナルレストレーションを作成し希望の形態をユニット上で微調整し、完成したプロビジョナルレストレーションをそのまま再現するために模型を作製し、最終補綴物を完成させた。 |
| 治療後経過 | プロビジョナルレストレーションの段階で生じていた歯肉炎も治癒し、予後良好。 |
| 治療期間 | 1ヶ月程度 |
| 治療費用 | 総額40万+税 (一本10万+税) |
| リスク・副作用 | 被せ物が割れることがある。 |


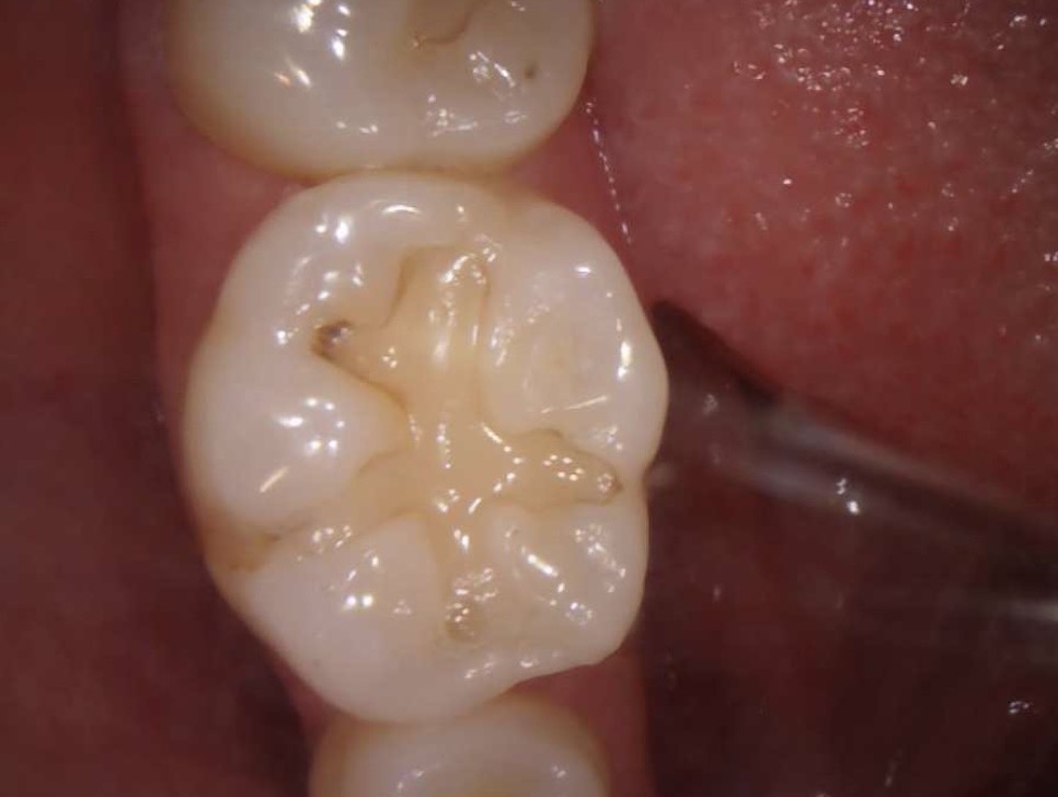
| 主訴 | 右上の虫歯が気になる |
|---|---|
| 診断結果 | 右上4番 C2 |
| 治療内容 | 治療後経過 疼痛等の症状なし。 |
| 治療後経過 | 2回 2週間 |
| 治療期間 | 1ヶ月程度 |
| 治療費用 | ハイブリッドインレー 35000円+tax |
| リスク・副作用 | 強度不足 経年的に着色する。 |


| 主訴 | 銀歯が外れた。白くしたい。 |
|---|---|
| 所見 | 右上7に実質欠損あり、内面に着色のあるセメントとが残留している。また、咬合面に着色を伴う軟化象牙質を認める。 |
| 診断 | インレー脱離、およびC2” |
| 治療内容 | う蝕部を除去したのち、インレー形成を行い、患者希望により自費材料のハイブリットレジンインレーによる保存修復処置を行った。 |
| 治療後経過 | う蝕は歯髄にあまり近接しない位置で留められたため、冷水痛も特にない。ハイブリットレジンインレーの硬さは歯質よりも柔らかく摩耗が起きやすいため、今後の形態変化も考えられるので定期的に経過を観察中である。 |
| 治療期間 | 二回(型取り、装着) |
| 治療費用 | ¥35,000(+tax) |
| リスク・副作用 | 上記の通り、歯質よりも硬度が劣ることから摩耗や破折の可能性も考えて材料に厚みを持たせたり(その分歯質切削量を増やす必要性がある)治療後歯軋りや食いしばりから予防するためのマウスピース装着が必要になったりすることがある。 |


| 主訴 | 歯がしみる |
|---|---|
| 所見 | 下顎右側第一大臼歯咬合面インレーとの境目に実質欠損あり。 |
| 診断 | 下顎右側第一大臼歯 C2″ |
| 治療内容 | 入っている銀歯を外し、咬合面近遠心からコンタクトにかけてのう蝕を取った。精密印象(型取り)を行い、次回予約にてジルコニアセラミックの詰め物を装着した。 |
| 治療後経過 | 現在咬合も含め経過観察中。 |
| 治療期間 | 二回 |
| 治療費用 | 60,000円(+tax) |
| リスク・副作用 | 特になし。 |


| 主訴 | 前歯が響く。 |
|---|---|
| 所見 | レントゲン上で上顎左側中切歯に近心側より明らかな透過像あり、根尖部にも透過像が見られた。 |
| 診断 | 上顎左側中切歯根尖性歯周炎 |
| 治療内容 | 根管治療、根管充填をした後十分に経過観察を行い、ジルコニアセラミ経観ック冠の型取り、装着を行なった。 |
| 治療後経過 | 経過良好。 |
| 治療期間 | 根管治療4回、被せ物の型取り、装着に2回、計6回 |
| 治療費用 | 150,000円(+tax) |
| リスク・副作用 | 特になし。 |


| 主訴 | 甘いものを食べると歯が沁みる |
|---|---|
| 所見 | 上顎右側第一小臼歯に口腔内視診にて、エナメル質の脱灰を認める。 |
| 診断 | 上顎右側第一小臼歯C2 |
| 治療内容 | 一日目)浸潤麻酔を行い、脱灰部分(白く変色した部分)よりう蝕除去を行った。 除去→う蝕検知液での染色(虫歯部分は青く染色される薬液)→除 去を繰り返し、う蝕を取り切ったのち、インレー形態を作り、型取りを行なった。 二日目)技工所にて製作したeーmaxインレーを自費用セメントにて接着した。 |
| 治療後経過 | 経過良好 |
| 治療期間 | 2回 |
| 治療費用 | 自費治療¥50,000(+tax) |
| リスク・副作用 | 咬合状態にっては材料が割れてしまうことがある。 |




| 主訴 | 奥歯黒くなっている |
|---|---|
| 所見 | 下顎左側臼歯部咬合面において過去に治療した充填材料(コンポジットレジン)直下に着色あり。探針にて段差を認める。(レントゲン上においても充填材料直下にうっすらと透過像あり。) |
| 診断 | 下顎左側第一大臼歯、第二大臼歯に二次齲蝕があると診断した。 |
| 治療内容 | コンポジットレジン修復 |
| 治療後経過 | 痛みなく、咬合状態も良好。 |
| 治療期間 | 一回 |
| 治療費用 | 保険診療2本で3,000円程度。 |
| リスク・副作用 | 今後も材料の経年劣化によって着色や不適合になる可能性があると伝えた。 |




よくある質問
- Q. セラミック治療のメリットは何ですか?
- A. 透明感があり変色しにくく、汚れもつきにくいのが特徴です。金属アレルギーの心配がなく、長期間美しさを保てます。
- Q. 金属アレルギーが心配なのですが…
- A. 当院では金属を一切使用しない「メタルフリー治療」を推奨しています。セラミックやジルコニアを使用することで、アレルギーのリスクをなくします。