歯根端切除とはどのような手術か?


歯根端切除術とは、歯根の先端のみを外科処置によって選択的に切除する手術のことを指します。
難治性の根尖病変を直接外科的に除去することで予後不良の根尖病変を治癒に導きます。
根尖周囲の歯茎を切開し、骨を露出させ、根尖と根尖周囲の病変を除去します。
難治性の根尖病変を直接外科的に除去することで予後不良の根尖病変を治癒に導きます。
根尖周囲の歯茎を切開し、骨を露出させ、根尖と根尖周囲の病変を除去します。
歯根端切除とは、歯根の端を切除する手術で、根の先にある歯根嚢胞という膿の袋を摘出し、歯根端の切除をして、逆根管充填を行います。
根尖と病変を摘出することで、予後不良の根尖性歯周炎を治癒に導くことができる処置です。
歯根端切除のメリット・デメリット
メリット
- 歯を保存できる可能性を高めることができる。
- 根管治療で予後が不良で再発を繰り返している場合や、抜歯と言われた歯を抜歯をせずに保存できる。
- 清掃性が悪くならないため、歯周病等のリスクも減らすことができる。
- 根管内部に感染がない場合は、上部構造を外さずに治療ができる。
根管治療で治らなかった場合や、根管治療ができなかった歯を抜歯せずに残せる可能性があります。また、上の被せ物(クラウン)は外さずに治療ができます。
デメリット
- 外科処置であることから、術後の痛みや腫れが生じます。
- 全身疾患の既往により、手術が困難な場合がございます。
- 術野が確保できない場合は適応外となります。
歯根端切除術では、外科的な治療のため術後一次的に歯ぐきの腫れや痛みが出ますが、痛み止めや抗生物質でコントロールできます。また、外科処置を伴うため治療後、切開線によっては歯ぐきが下がる場合があります。(歯根嚢胞が根の先端のみの場合は、歯ぐきが下がることはほとんどありません。)
歯根端切除術が必要になるパターン
- 何度も根管治療を繰り返している場合
- 根尖病変がレントゲンにて確認でき、病変の範囲が広範囲に渡っている場合
- 難治性で根管治療を長期に渡り行っても改善が見られない場合
- 精密根管治療後、予後不良が確認された場合
- 高い精度の被せ物を装着済みで、被せ物の交換を必要としない場合
当院の歯根端切除の特徴
最小限の痛みでの手術
麻酔を十分に患部に効かせて処置をする為、術中の痛みはありません。
もし違和感がある場合はすぐに麻酔を追加し、痛みがない状態で手術を行います。
歯根端切除術の費用
1歯100000円(税抜)となります。
保険適応外の材料を用いて行う為、保険適応外となります。
歯根端切除の症例
| 主訴 | 左上前歯が痛くて歯茎が腫れている。3年ほど前に神経治療をした。 |
|---|---|
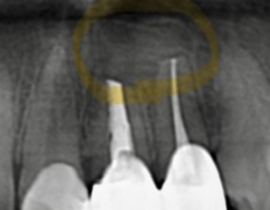
| 所見 | パノラマレントゲンにて左上1番2番に透過像が確認され、根尖相当部歯肉にフィステルあり。また排膿も伴う。打診痛、自発痛あり。 |
| 診断 | 左上1.2部 慢性根尖性歯周炎 |
| 治療内容 | 感染根管処置を行い根管内を無菌化し、貼薬を行った後、マイクロスコープ下にて歯根端切除術を行った。 |
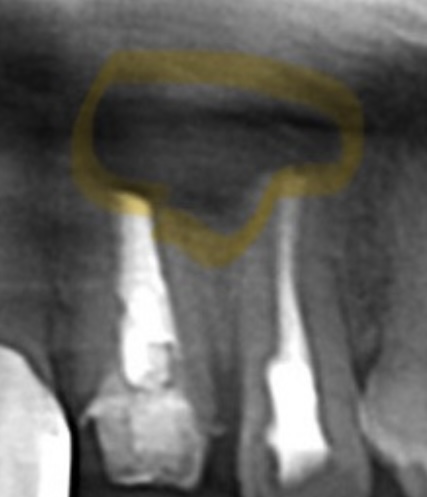
| 治療後経過 | 6ヶ月経過 パノラマレントゲンにて患部の骨の回復が見られた。打診痛、自発痛共に無く経過良好。 |
| 治療期間 | 1ヶ月 |
| 治療費用 | 100,000円 自由診療 |
| リスク・副作用 | 病変が消失しないことがあります。 |

術後6ヶ月時点 レントゲン

手術当日 術後レントゲン

初診時 レントゲン画像
よくある質問
- Q. どのような場合に受ける手術ですか?
- A. 根の先に膿が溜まり通常の治療で治らない場合に、歯茎から直接アプローチして膿の袋を取り除く、歯を残すための手術です。
- Q. 手術は痛いですか?
- A. 麻酔下で行うため術中の痛みはありません。術後の痛みも薬でコントロール可能です。